Top.Mail.Ru
Уфа
Пункт самовывоза: Уфа, Трамвайная ул., 2/5
Зелёный свет
вашей клинике

Критерии выбора конусно-лучевого компьютерного томографа

Критерии выбора конусно-лучевого компьютерного томографа
Седов Ю.Г. – к.м.н., ст. преподаватель кафедры общей и клинической стоматологии МИ РУДН, врач-стоматолог, рентгенолог. 
Критерии выбора конусно-лучевого компьютерного томографа.-04 (5).jpg
   Приветствую тебя, дорогой читатель, эта статья не будет написана по стандартным клише и является моим неким посылом, в первую очередь вызванным тем, что в силу своей деятельности ко мне очень часто обращаются курсанты, коллеги, друзья и знакомые с просьбой подсказать, какой конусно-лучевой компьютерный томограф выбрать. Поэтому я решил представить путеводитель того, на что обращать внимание практикующему стоматологу, принимающему данное ДОРОГОСТОЯЩЕЕ решение.

   Безусловно я мог бы написать стандартными абзацами и разделами, начиная с того, что такое конусно-лучевой компьютерный томограф, принцип получения изображения, озадачиться вопросами радиационной безопасности и прочее. Я не собираюсь этого делать, потому что уверен в том, что тот, кто решил купить дентальный томограф прочтёт не одну публикацию на просторе Интернета, и либо эти разделы он будет пропускать как ненужные, либо он их уже знает, поэтому остановлюсь на тех моментах, которые, по-моему мнению, важны именно во врачебной практике. 

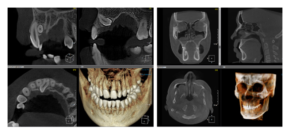
1. Поле обзора (FOV)

   Когда мы отправляем пациента на проведение рентгенологического исследования, то подвергаем его определенному риску. Именно это нужно осознавать, так как в радиологии нет минимально безопасной дозы, поэтому любое назначение должно быть обоснованным. В связи с этим поле обзора является достаточно принципиальным параметром. Если вы врач-терапевт, занимающийся эндодонтией или ортопед, который решил оценить состояние зубов перед протезированием, то вы должны понимать, что проведение исследования с полем обзора 10x10 см будет гораздо информативнее нежели большие снимки (18x16 см и выше). В первую очередь это связано с размером вокселя, о нём я напишу чуть ниже, а второе это то, что вам придется увеличивать изображение по каждому корневому каналу, и от этого вы будете терять в качестве снимка (рис. 1). И ситуация наоборот, если вы ортодонт, то чтобы использовать весь диагностический потенциал, а также возможность загрузить данные для расчёта 3D цефалометрии, то вам нужны снимки, захватывающие весь лицевой отдел черепа. Таким образом, дентальный томограф должен обладать возможностью проведения исследований с разным FOV, обеспечивая нужды всех специалистов. Если ваша клиника базируется на терапевтическом, хирургическом и ортопедическом приёме, то на мой взгляд, можно рассмотреть дентальные томографы с полем обзора 10x10 см или 16x10 см. Последний больше актуален для тех, кто работает с ВНЧС, так как антропометрически в 16 см даже у брахицефалов сустав должен попадать.  Если в клинике есть ортодонтическое направление, функциональная стоматология, ЛОР-практика или ЧЛХ, то, безусловно, вышепредставленные снимки не будут отражать всех данных, которые необходимы для диагностики и планирования лечения. Здесь лучше рассмотреть конусно-лучевые компьютерные томографы с зоной сканирования 18x16 или 20x20 см. Особо стоит отметить понятие «сшивки». Есть дентальные томографы, которые делают один цельный снимок размерами, которые описаны выше, а есть аппараты, которым нужно провести две экспозиции и сшить изображения вместе, чтобы получился необходимый объём исследования. Как правило, вторые томографы чуть дешевле, но всё зависит от того, насколько вам нужна максимальная точность исследования. Если при сшивке челюсти и зубы, как правило, совмещаются практически идеально, то на уровне позвоночного столба происходит наслоение тканей и от него уже не избавиться (рис. 2). Второй отрицательный момент – это износ оборудования, логично, что он будет быстрее, так что экономия средств — это ещё спорный вопрос. 

   Подводя итог, чем больше конусно-лучевой компьютерный томограф может выдать вариантов FOV – тем больше разных кейсов вы для себя закроете с точки зрения комфортной диагностики. Ниже пример моего подхода в назначениях зоны сканирования.

Критерии выбора конусно-лучевого компьютерного томографа.-02 (2).jpg

Критерии выбора конусно-лучевого компьютерного томографа.-03 (1).jpg

Рис. 1. Представлены два исследования (10x10 см и 20x20 см). На обоих изображениях хорошо видна канально-корневая система зубов, но, если масштабировать второе исследование, то качество неминуемо снизится, как и диагностическая эндодонтическая эффективность.
 Критерии выбора конусно-лучевого компьютерного томографа.-04 (1).jpg  Критерии выбора конусно-лучевого компьютерного томографа.-05 (1).jpg

Рис. 2. Левый снимок представлен исследованием 20x20 см единым изображением. Стрелками показаны чёткость канально-корневой системы зуба, а также позвоночника. Правый снимок представлен исследованием 16x15 см с функцией сшивки. Стрелками обозначены чёткость зуба, но двойной контур позвоночника.

2. Значения вокселя

   По сути воксель – это структурная единица изображения. Компьютерная томограмма состоит из вокселей, и их размер определяет качество снимка. Как правило, чем меньше FOV снимка, тем меньше и размер вокселя, а это, в свою очередь, делает изображение более качественным (рис. 3). Разные фирмы, производящие дентальные томографы пытаются конкурировать в размерах вокселя, особенно при больших зонах сканирования. Я стараюсь использовать два режима, как правило, это standart definition со средним размером вокселя и high definition с уменьшенным размером вокселя. Если намечается сложная эндодонтия, то, безусловно, high definition с минимальным значением вокселя будет крайне эффективно, но если у пациента огромное количество металла (циркон, металлокерамика и прочее) то порой именно стандартный размер вокселя помогает снизить количество артефактов и сделать изображение более читабельным. 

Критерии выбора конусно-лучевого компьютерного томографа.-06 (1).jpg
Рис. 3. КЛКТ с зоной сканирования 5x5 см и размером вокселя 70 микрон. 

3. Лёгкость позиционирования пациентов

   По сути, как рентгенолаборант выполнит позиционирование пациента будет в дальнейшем определяться качество снимка. Надо чётко понимать, что каждый человек индивидуален, и поэтому важно учитывать антропометрические параметры. Например, у пациента имеется выраженный наклон передней группы зубов верхней челюсти и при проведении исследования 10x10 см их режущие края могут срезаться. Для таких целей очень помогает возможность предварительного проецирования изображения на лицо пациента (рис. 4), где оператор, видя, что передние зубы не будут отображены, может скорректировать позиционирование. Вторая ситуация, как пример, надо выполнить снимок размером 5x5 см в зоне третьего моляра, и несмотря на выставление позиционирующих лучей на итоговом изображении происходит срезка снимка. Опять-таки функция предварительного просмотра изображения очень помогает в подобных ситуациях и не позволяет получить пациенту дополнительную ненужную лучевую нагрузку. Также важно обеспечить неподвижность пациента и отсутствие задевания какой-либо его части аппаратом (часто наблюдается, когда аппарат проходит по волосам или плечам пациента). Инструктаж оператора перед началом использования дентального томографа является обязательным стандартом.

Критерии выбора конусно-лучевого компьютерного томографа.-07 (1).jpg
Рис. 4. Слева на подсвеченной зоне видна обрезка передней группы зубов, справа правильный (скорректированный) контроль позиционирования (на приёмнике изображения виден профиль лица на подсвеченной зоне).

4. Универсальность программы-просмотровщика

   Ещё одна актуальная проблема в современной стоматологии — это огромное количество разных программ просмотровщиков конусно-лучевой компьютерной томографии. Каждый производитель этого ПО старается сделать что-то уникальное, и для конечного доктора это порой усложняет диагностику. Вы привыкли работать в одной программе, а тут уже пришел пациент с КЛКТ исследованием в совершенно незнакомом софте. У меня даже существует отдельный курс по разбору разных программ, чтобы врач всегда мог сориентироваться и провести консультацию. Но если вы решили купить собственный дентальный томограф, то здесь совет брать программу, которая технически удовлетворит все ваши запросы. Стоит помнить о том, что если вы будете проводить исследования не только для нужд своей клиники, но и сторонним, то эта программа не должна быть обрезанной по функционалу, являться простой, русифицированной, а также знакомой и понятной многим. От себя хочу добавить, что советую обращать внимание на возможность использования различных фильтров резкости изображения, изменения толщины среза, возможность построения произвольных кросс-секций на панорамном реформате, а также большой базы имплантатов (рис. 5), и чтобы всё это было доступно не только в лицензии, но и во viewer (просмотровщике, который получает конечный врач).
Критерии выбора конусно-лучевого компьютерного томографа.-08 (1).jpg
Рис. 5. Пример программы OnDemand3D. Панорамный реформат с повышенным фильтром резкости, произвольной кросс-секцией, установленным виртуальным имплантатом.

5. Техническое обслуживание

   Определившись с фирмой производителем конусно-лучевого компьютерного томографа, надо понимать, что это не всё и, как и покупка машины, надо убедиться в качестве и сроках его дальнейшего обслуживания. Здесь стоит обращаться либо к официальным представительствам, либо к эксклюзивным дистрибьютерам на территории страны, где вы находитесь. Но и это ещё не всё, предварительно стоит узнать, как обстоят дела с сервисом, какое количество инженеров есть в данной компании, как быстро они устраняют возникающие проблемы, наличие склада с доп. частями, выполняются ли постгарантийные обязательства. Надо понимать, что, если менеджер говорит вам, что компания в топе по продажам дентальных томографов, значит и сервис у них так или иначе должен быть обширным, а не состоять из двух инженеров, катающихся по всей стране. Простой в диагностике и потеря финансов никому не нужны. 

6. Загрузка данных в сторонний софт

   Стоматология становится всё больше цифровой. И если до недавнего времени загрузка DICOM (общепринятый формат записи данных) файлов КЛКТ исследования использовалась в основном хирургами для проектирования хирургических шаблонов и челюстно-лицевых операций, то сейчас ортодонты и ортопеды стали загружать снимки в сторонние программы для последующего анализа и даже выполнения этапов лечения. Врачи-терапевты, занимающиеся апикальной хирургией, стали делать шаблоны для прицельного формирования операционного доступа. Безусловно все эти задачи должны выполняться без особых напрягов и потери качества снимков. Поэтому обращайте внимание на открытый формат .dcm, чтобы не стать заложником вечного конвертирования файлов и ругани с лаборантами, проводящими исследования.


7. Установка в жилых домах

   Ввиду большого количества клиник, находящихся в жилых домах и при этом желающих обеспечить современные подходы стоматологического лечения задаются вопросом: а могут ли они установить данное оборудование? На сегодняшний день конусно-лучевые компьютерные томографы, которые могут быть ограничены по напряжению трубки до 70 кВ допускаются для использования в стоматологиях, которые расположены в жилых домах. Так что этот вопрос необходимо сразу обсудить с продавцом оборудования и узнать могут ли они обеспечить всеми подтверждающими документами.

Подводя итог статьи, я приношу извинения за отсутствие академичности её написания, но моя цель была максимально просто рассказать о том, на что следует обращать внимание при выборе дентального томографа. Надеюсь, данный путеводитель будет вам полезен и поможет с окончательным выбором вашего трёхмерного помощника. 

Критерии выбора конусно-лучевого компьютерного томографа.-12 (1).jpg

                                                                                                                                                                                                         С уважением, Ваш Седов Юрий.


Нужна консультация?
Подробно расскажем о продукции и услугах, подберем оптимальный вариант и предложим лучшие цены!
В связи с резкими колебаниями курсов валют окончательные цены на интересующие позиции просим уточнять у менеджеров компании. x